Мини импланти и алайнери - Невидимата дигитална ортодонтия и скелетна опора. Двудневен курс.

Продължителност - 11 часа
2100,00 € с ДДС
(4107,18 лв с ДДС)

Този иновативен практически курс предоставя на ортодонти и общопрактикуващи зъболекари задълбочени знания за дигиталното планиране в ортодонтията, невидимата ортодонтия и скелетната опора. Участниците ще усвоят ефективни протоколи за работа с алайнери, ще разберат принципите на 3D управлението на ортодонтския софтуер и ще придобият увереност в комуникацията с CAD-дизайнерите.

Какво ще научите?

По време на обучението ще бъдат анализирани над 60 успешно решени случая с различна степен на сложност, а курсистите ще имат възможност да представят свои клинични случаи за обсъждане. Вторият ден е посветен на практически упражнения върху модели, за да се усъвършенства поставянето на минивинтове за абсолютна опора – ключова техника при лечението на сложни ортодонтски случаи.
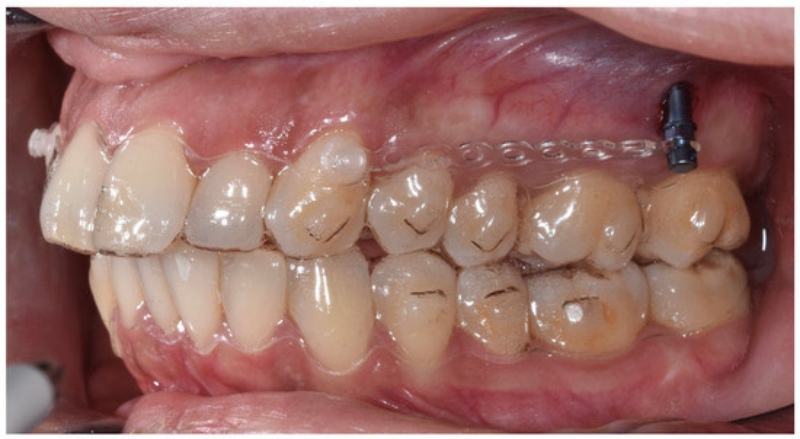
Снимка на Мини импланти и алайнери - Невидимата дигитална ортодонтия и скелетна опора. Двудневен курс.
Снимка за лектор Д-р Виктор Герреро

Д-р Виктор Герреро

Kурсът е подходящ за вас, ако сте:

Вие сте студент по дентална медицина

Вие сте студент по дентална медицина

Ако Вие сте студент по дентална медицина, който иска да получи допълнителна информация, която да обогати и надгради знанията придобити във вашето следване.

Вие сте стоматолог с интерес към ортодонтията

Вие сте стоматолог с интерес към ортодонтията

Ако имате интерес към ортодонтията и смятате, че бихте искали да специализирате и надградите допълнително вашите познания в сферата.

Вие сте колега, занимаващ се активно с Ортодонтия

Вие сте колега, занимаващ се активно с Ортодонтия

Ако Вие сте практикуващ ортодонт с интерес към дигиталната стоматология, 3D планиране на ортодонтско лечение, 3D управление на ортодонтски софтуер и комуникация с CAD дизайнери.

Вие сте практикуващ ортодонт, работещ с мини импланти и алайнери

Вие сте практикуващ ортодонт, работещ с мини импланти и алайнери

Ако Вие сте практикуващ ортодотн, работещ с мини импланти и алайнери, както и с 3D софтуери за ортодонтско лечение и искате да обогатите и разширите знанията си в областта.

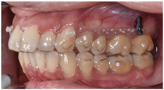
Снимка на Мини импланти и алайнери - Невидимата дигитална ортодонтия и скелетна опора. Двудневен курс.

Получавате електронен сертификат за завършено обучение

Гаранция за професионализъм

Получавате електронен сертификат за завършено обучение по конкретната дисциплина на курса, който удостоверява вашите знания и умения, като ви дава увереност да прилагате наученото в практиката си.

Нови възможности за кариера

С този сертификат в ръце, вие разширявате своя професионален хоризонт, отваряйки врати към специализации, престижни клиники и международни възможности.

Програма на курса

  • Дигитална дентална медицина. Авангарден работен процес и протоколи.
  • Настояще, минало и бъдеще на алайнерите.
  • Брекети Vs. Алайнери – Биомеханични основи на лечението с алайнери.
  • Проектиране и избор на задръжни елементи (атачмънти).
  • Стрипинг (интерпроксимална редукия-IPR).
  • Протокол за трансверзални отклонения.
  • Протокол за вертикални отклонения.
  • Протокол за сагитални отклонения. – Протокол за екстракция.
  • Ускоряване на ортодонтското придвижване.
  • 3D инструменти за контрол на лечението.
  • Предимства при овладяването на инструмента за 3D контрол при ортодонтската превизуализация на лечението.
  • Ръководство при работа 3D софтуер. Преглед на казуси.
  • Опора в ортодонтията.
  • Абсолютна опора: революцията в ортодонтията.
  • Минало и настояще на скелетната опора.
  • Предимство на екстрарадикуларните мини винтове.
  • Инфразигоматичен гребен. Биомеханика на лечението с алайнери.
  • Мандибуларен букален шелф. Биомеханика на лечението с алайнери.
  • Мандибуларен рамус. Биомеханика на лечението с алайнери.
  • Фронтална област: лечение на гингивална усмивка.
  • Палатинална област: опростяване на моларната интрузия.
  • Ретромоларни зони.
  • Ретенирани кучешки зъби.
  • Практически упражнения за поставяне на минивинтове на модели – овладяване на техниката и анатомичните особености на всяка локация.
  • Идеални позиции оператор – пациент.
  • Проектиране и изготвяне на хирургични водачи за поставяне на минивинтове.

Купете запис от обучението

Купи запис

6 месеца достъп до пълния видеозапис от обучението в специализирана платформа



Безценни знания и практически умения, които да използвате веднага в практиката си



Електронен сертификат за завършено обучение

2100,00 € с ДДС
(4107,18 лв с ДДС)